Teach Abroad Coyle-Gamero
From Uruguay to Indonesia
Menu
Skip to content
Home
What Happens in Uruguay 2017-2023
Brazil
Recap: Rio First Day Top Eight
Christ Redeemed
Rio Must Do: Parque Lage
Mis-TRANS-lation: A Bus Adventure
Nights Out with Gabriel
Vista Chinesa
My favorite day: Foz do Iguaçu Brazil
Paraty
Leo’s Clan – Paraty part 2
Colombia
Day 1: Bogota
Day 2: Bogota
Day 3: Medellin
Day 4: Medellin
Day 5: Medellin to Cartagena
Day 6: Cartagena
Day 7 – Cartagena and the Rosario Islands
Day 8: Travel from Hell (Bogota to Salento)
Days 9 – Salento’s Coffee
Day 10 – Salento
Days 11-13: Back to Bogota
The Punxsutawney Phil Period
Chemotherapy Treatment Number 1
The Days After Chemo
Are you going to work through chemo?
A Letter to My Mother
Hooked on Phonics…Spanish Edition
A Letter to STUCO and Mr. Davidson
Healthy and Ready for Round 2
I’m Not Ready to be Ready
Cancer Fighting Super Lunch
It’s Official: I Work with the Best People in the World
Chemotherapy Treatment Number Two
The Days After Chemo Number Two
I Noticed…
A Mom Reality Check…
Ninth Grade Humor
The First Cut
Chemotherapy Treatment Number Three
The Days After Chemo Number Three
White Cell Problems
White Cell Problems Part 2
White Cell Problems Part Free…at Last!
The Hope in Others
Chemotherapy Treatment Number Four
The Days After Chemo Number Four
PET Scan Number Two
Results Come Tomorrow so I am Planting Flowers
The Results Are In…Chemo Works
Chemotherapy Treatment Number Five
The Days After Chemo Number Five
Gotta HAND it to the Chemo
This is why I do this
Happy Groundhog Day
Another Manic Monday
Mom Donates Blood
First a Port then Chemo Number six
The Days After Chemo Number 6
Returning to Normal
Chemotherapy Treatment Number Seven
The Days After Chemo Number 7
I finally went G.I. Jane
Chemo Postponed
Chemotherapy Treatment Number Eight
The Days After Chemo Number 8
One shot, Two Shots, Three Shots, Floor
Chemotherapy Treatment Number 9
The Days After Chemo Number 9
Mocking Cancer
Chemotherapy Treatment Number Ten
The Days After Chemo Treatment 10 – The Symptoms
The Worst Symptom of All
Chemotherapy Number 11
Chemotherapy Treatment Number 12
The Days after Chemo Number 12
Nurses: Soul Savers in the Trenches
A Sweet Note from Katie
Silly Socks and Wigs
Shots, shots, shots, shots
Kim-O de Mayo
I’ll Love You Forever
My Old World with a New Appreciation
Peru – or Trek, Eat, Discover
Chau, 2019
Cusco day one
Day 2: a rainy day adventure in Cusco
Cusco day 3: Rainbow Mountain
Cusco Day 4: Laguna Humantay
Cusco day 5 – a change of plans and a walking tour
Day 6 – the Trek to Machu Pichhu
Day Seven – a return to Machu Picchu and tackling the mountain.
Day 8 – what to do with an unexpected last day in Cusco
Day 9: Floating islands and A Homestay
About Kim Coyle
Contact
Search
Search for:
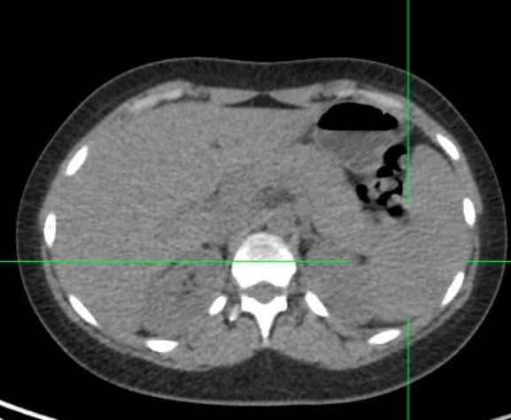
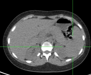
screen shot 2019-01-21 at 11.44.04 am
January 21, 2019
/
mscoyleabroad
Post navigation
←
PET Scan Number Two
Leave a comment
Cancel reply
Δ
Comment
Subscribe
Subscribed
Teach Abroad Coyle-Gamero
Join 115 other subscribers
Sign me up
Already have a WordPress.com account?
Log in now.
Teach Abroad Coyle-Gamero
Subscribe
Subscribed
Sign up
Log in
Copy shortlink
Report this content
View post in Reader
Manage subscriptions
Collapse this bar